ファミリー歯科の部分矯正
気になる前歯だけを、短期に低価格で治療が可能です
矯正専門の先生に、前歯だけ治したい・・・といっても、2〜3年・100万円程度かけて全体の治療をした方が良い、と言われて相談に来られる患者様がたくさんいらっしゃいます。
当院では、早いものでは3ヶ月、長くても12ヶ月程度で、気になる前歯だけを移動してキレイに並べる「部分矯正」に対応しています。
部分矯正治療例
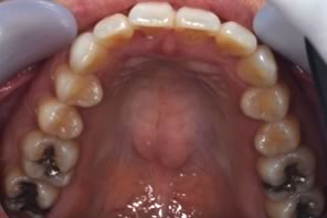
初診時
|  |  |  | 
初診の状態です。 歯列不正の影響で咬み合せが悪く、顎関節に痛みが出ているような症例です。
顎関節の症状を改善するには、咬み合せを治す必要があります。
矯正治療時
|  |  |  | 
矯正装置をもちいて歯列不正の改善、ならびに咬み合せの改善を行うことになりました。 矯正治療=審美 と思われる方が多いと思いますが、咬み合せをなおすことにも非常に有効な治療方法です。
治療終了時
|  |  |  | 
約10か月後の状態です。 歯列不正の改善、咬み合せの改善が完了し顎関節の痛みが和らぎました。 この状態を維持するためにも、現在は定期的な検診を行っています。
治療前後比較
| 治療前 | ||
|---|---|---|
|  |  |  | 
|  |  |  | 
| 治療後 | ||
リスク/金属アレルギーによって口内炎ができることがある。



