ファミリー歯科の矯正歯科治療
気になる歯並びをきれいにする矯正歯科
矯正治療とは、八重歯、乱杭歯(凸凹)、受け口、出っ歯、すきっ歯のような悪い歯並びや、かみ合わせ(不正咬合)をきれいに揃えて、上と下の歯のかみ合わせを良くし、これによって口もとの形を整えると同時に、食べ物を良く噛めるようにすることを目的としています。これに加えて、発音を明瞭にさせるとともに、虫歯や歯槽膿漏になることを防ぎ、健康を一段と増進させようとするものです。また、成長とともに美しさに敏感になってくる子供たちにとって、きれいな歯並びに整った容姿は、明るく、積極的な性格をもたらしてくれることでしょう。
矯正が必要な場合
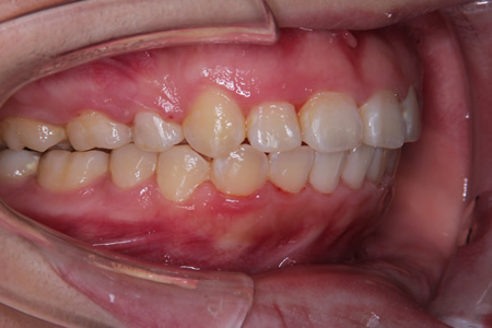
叢生・乱ぐい歯・八重歯
顎に歯が並びきることができず、歯が歯列から飛び出してしまったり、重なり合っている状態のことです。
八重歯などもその症状の一つです。歯ブラシが届きにくいため、歯周病や虫歯などの原因になることも多いので早期に改善する必要があります。
治療法としては、歯列を広げたり、必要であれば抜歯をして歯が並ぶことが出来るだけのスペースを確保した上で矯正を行います。
叢生 治療例
| 治療前 | 治療後 |
|---|---|
![]() |
![]() |
上顎前突(出っ歯)
上顎が下顎よりも前方に出ている状態のことで、出っ歯とも言われます。唇が閉じにくいため歯肉が乾燥するので、歯周病の原因になることがあります。
治療法としては、一般的に上顎の奥歯を抜いて前歯を後ろに移動するスペースを確保します。
上顎前突(出っ歯) 治療例
| 治療前 | 治療後 |
|---|---|
![]() |
![]() |
下顎前突(受け口)
下顎が上顎よりも前方に出ている状態のことで、受け口とも言われます。前歯でうまく食べ物を噛むことができず、消化不良の原因となります。
治療法としては、下顎の奥歯を抜歯したり、矯正で歯の角度を戻したりします。
下顎前突(受け口)治療例
| 治療前 | 治療後 |
|---|---|
![]() |
![]() |
開咬(オープンバイト)
前歯が噛み合わない状態の状態のことを開咬(かいこう)といいます。奥歯は噛んでいても、前歯付近は噛みあわず隙間が空いている状態です。
前歯で食べ物を噛み切ることができなかったり、奥歯に過剰な負担がかかったり、話すときにも息がもれて正しく発音しにくいことがあります。
開咬を治療するためには一般的に矯正を行いますが、抜歯をしなければならない場合もあります。
セファロを用いた精密診断
当院では、セファロというデジタルレントゲンシステムを導入し、精密・正確な診断を行っています。
なぜ、セファロが矯正の診断に必要なのか
矯正治療前の診断時、矯正治療中の状態確認、矯正治療終了後の確認など、 同じ規格で撮影したレントゲン写真があれば経時的にその変化が把握できます。その変化に基づいて、的確な矯正治療をすすめていきます。
通常のレントゲン(パノラマレントゲン)では、顎の状態しか把握することができませんが、セファログラムでは、顎の状態だけではなく、頭部も含めた撮影を行いますので、「上下顎の大きさとそのズレ」、「顎の形」、「歯の傾斜角」、「口元のバランス」などについて判ることができます。

リスク/後戻りが考えられる。
料金/【大人矯正】ブラケット装置:¥500,000、保定装置:¥50,000、調整料:¥10,000 【小児矯正】ブラケット装置:¥250,000、保定装置:¥50,000、調整料:¥10,000





